Modern Medicine,
Traditional Values.

Once upon a time, going to the doctor was unhurried, comfortable, and reassuring. That is the way we do things here.

Modern Medicine, Traditional Values
Modern Medicine, Traditional Values

Same-day appointments

We see patients as often as needed — no waiting weeks for a slot.

Direct access to Dr. Tommy

Text, email, video — after hours and on weekends too.

No insurance required

One flat annual fee. No copays, no surprise bills.

Personal, Private Medical Care

At Echelon-Health our only priority is you, our patient. We see patients as often as needed without waiting for an appointment. And rest assured, there is no hurrying through the visit — we schedule ample time for each patient. We have purposely limited the size of our practice to preserve patient satisfaction.

While we do not process insurance ourselves, we can help you utilize insurance for your other health care needs.

Schedule a meeting to learn more.

Learn About Membership

Good Health Starts with Prevention

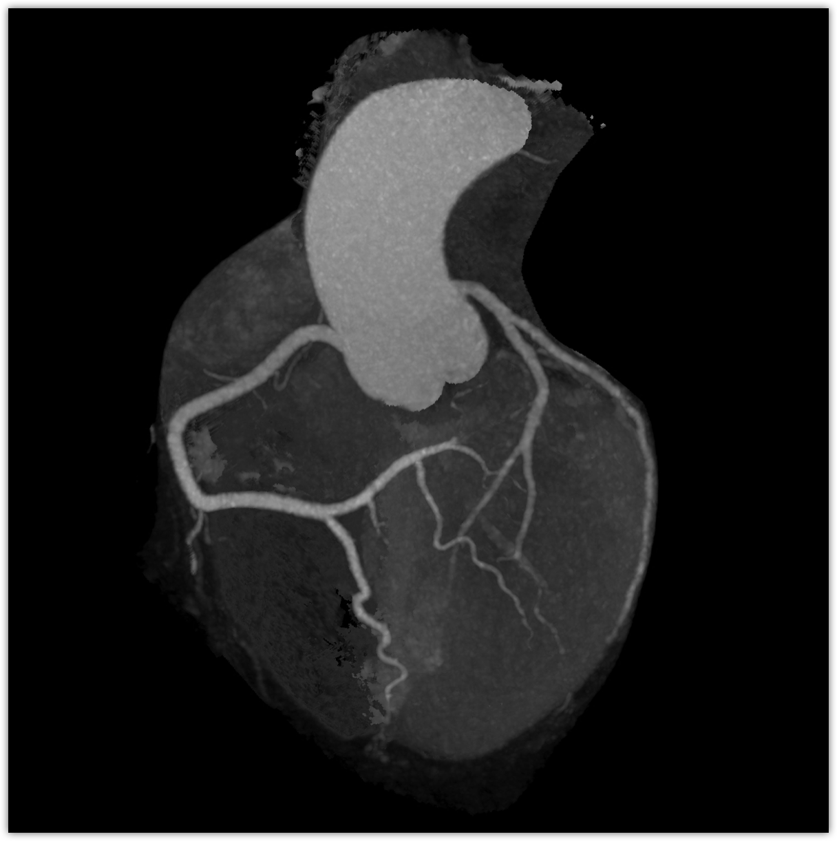
We believe in keeping you as healthy as possible. One of the ways we do this is by checking for heart disease with a Coronary CT Angiogram (CCTA) — a non-invasive scan that can see disease in your heart vessels even if you have no symptoms.

Preventive Cardiology Screening
Heart disease is the #1 cause of death in the United States.
Most people have no symptoms until it’s too late. A Coronary CT Angiogram (CCTA) lets us see disease in the vessels of your heart — before a heart attack happens.
LAD scan
Aorta scan
Coronaries scan
Right coronary scan

Echelon-Health Team

Tommy and Tracy McElroy
Tommy McElroy, MD
Family Medicine & Sports Medicine

Tommy McElroy, MD completed training in Sports Medicine and Family Medicine at USF-Morton Plant Mease where he was Chief Resident. He graduated from the USF College of Medicine and UF College of Agriculture. (CV)

Tracy McElroy, LPN
VP of Operations · Licensed Practical Nurse

Tracy McElroy, LPN has worked across many specialties including Family Medicine, Gastroenterology, Pediatrics, Neurology, Gynecology, and more. As VP of Operations she handles both administrative and clinical responsibilities for our patients.

About Us

Centrally Located in Tampa Bay

16110 North Florida Ave · Lutz, FL 33549 · 813-415-2319 ofc · 813-474-2912 fax · Map & Directions →